Cracked teeth can be a source of discomfort and concern for many people. Whether it’s caused by biting down on a hard object, grinding your teeth, or an accident, a cracked tooth is not just a cosmetic issue; it can lead to serious dental problems if left untreated. In this article, we’ll explore the different types of cracked teeth, possible treatments, and what to expect during the repair process.
Understanding Cracked Teeth
Cracked teeth can manifest in various forms, and understanding the type of crack can help determine the appropriate treatment.
Types of Cracked Teeth
- Craze Lines: These are small, superficial cracks that affect only the enamel. They are typically harmless and don’t require treatment.
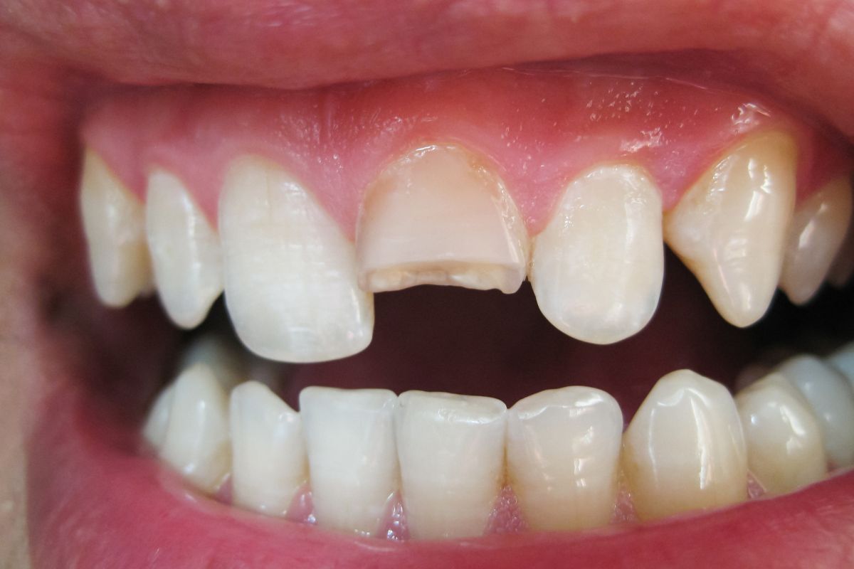
- Fractured Cusp: This occurs when a cusp, or the pointed part of a tooth, breaks off. This type of crack can be quite painful and may require dental intervention.
- Cracked Tooth: A cracked tooth extends from the top of the tooth down toward the root. Depending on the severity, this type may lead to pain and sensitivity.
- Split Tooth: A split tooth has a clear separation, which usually occurs from a cracked tooth that has worsened over time. This type often requires more complex treatments, including extraction in some cases.
- Vertical Root Fracture: This type of fracture starts at the root and progresses upward. It can be difficult to diagnose and often requires extraction if it leads to infection.
Symptoms of a Cracked Tooth
Patients may experience various symptoms related to a cracked tooth, including:
- Pain while chewing: Discomfort can be experienced when biting down or when pressure is applied.
- Sensitivity: Increased sensitivity to hot or cold foods and beverages is common.
- Swelling: In some cases, the gums around the tooth may swell.
- Visible cracks: Sometimes, cracks can be seen on the tooth surface, while others may not be easily noticeable.
Treatment Options for a Cracked Tooth
The treatment for a cracked tooth largely depends on the type and severity of the crack.
1. Dental Bonding
For minor cracks or craze lines, dental bonding can be a suitable option. This involves applying a tooth-colored resin to the affected area, which is then hardened with a special light. Bonding is a quick and cost-effective solution that can restore the tooth’s appearance and function.
2. Dental Crowns
For more significant cracks, particularly those that extend into the pulp or where the tooth’s structure is compromised, a dental crown may be necessary. A crown is a custom-made cap that covers the entire tooth, providing strength and protection. The procedure usually involves shaping the existing tooth and taking impressions for the crown, which is placed during a follow-up visit.
3. Root Canal Treatment
If the crack has extended into the pulp of the tooth, a root canal may be required. This treatment involves removing the damaged pulp, cleaning the inside of the tooth, and sealing it to prevent further infection. After a root canal, a crown is often placed to restore the tooth’s structure.
4. Extraction
In cases where the crack is severe, such as with a split tooth or vertical root fracture, extraction may be the only viable option. This involves removing the entire tooth and may require subsequent treatments, such as dental implants or bridges, to replace the lost tooth.
Preventing Cracked Teeth
While not all cracked teeth can be prevented, there are several strategies to reduce the risk:
- Avoid Hard Foods: Be cautious when eating hard candies, ice, or nuts, which can contribute to tooth damage.
- Wear a Mouthguard: If you grind your teeth at night, consider wearing a mouthguard to protect against wear and cracks.
- Regular Dental Checkups: Routine visits to your dentist can help identify issues before they become more serious, reducing the likelihood of cracks.
- Practice Good Oral Hygiene: Maintaining healthy teeth through brushing, flossing, and using fluoride can help strengthen tooth enamel.
What to Expect During the Repair Process
If you suspect a cracked tooth, it’s essential to visit your cosmetic dentist promptly. Here’s what you can typically expect during the repair process:
- Examination: The dentist will conduct a thorough examination, including X-rays, to assess the extent of the crack and determine the best treatment option.
- Discussion of Options: After diagnosing the issue, the dentist will explain the available treatment options based on the severity of the crack.
- Treatment Appointment: Depending on the recommended treatment, you may require one or more appointments. For example, dental bonding can often be completed in a single visit, while crowns may need a follow-up visit for placement.
- Aftercare: After treatment, the dentist will provide instructions for care, which may include avoiding certain foods or taking pain relief medication if necessary.
Conclusion
A cracked tooth can be concerning, but with prompt and appropriate treatment, it can often be effectively repaired. Understanding the different types of cracks and the available treatment options can help you make informed decisions about your dental health. If you suspect you have a cracked tooth, don’t delay in seeking dental care to prevent further complications and restore your smile.
Visit Smiles of Punta Gorda
We can see you as soon as tomorrow!

